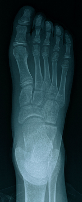
The boy wanted to be an American Ninja Warrior.”I can scale this wall”, he says to himself. He takes off, mindful of the debris under his feet, gravel, bottle caps, branches. A small pile of wet leaves in front of the wall, located just where he would push off and leap to begin his rapid ascent thwarts him. He slips, slides and bangs his right foot into the wall. A Sunday in bed, ice and Tylenol. A Monday at the hospital, x-rays, a 3 week boot. Lost youth.
LikeLoading...
Published by luxe64
LUXE LXIV is the framework for the photography of Dave Ortiz. Dave has been making and working with images for over 15 years. He is presently the Head of Digital Imaging at Columbia University in the City of New York. He is available for digital imaging consultation. Previously he was the head photographer at The New York Public Library and he was a photo editor at Natural History magazine from 1992 - 2000. He currently lives in Maplewood, NJ.
View all posts by luxe64